티스토리 뷰

이번 포스팅은 구내염 원인과 치료법에 대해서 알아 보겠습니다. 요즘 바쁜시대에 잠이 부족하고 스트레스 받으면 구내염 또는 입병이라 불리는 증상이 많이 나타납니다. 이것을 오래 지속하게 된다면 더 아픈 병을 키우게 되기 때문에 구내염 원인과 치료법에 대해서 알아 보겠습니다.


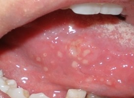
이건 입안의 어디든지 예상치도 못한 곳에 생기게 돼서 매우 거슬리게 됩니다.
대부분 입 천장, 볼, 혀 밑 등에 생기는데 간혹 목 구멍 근처에도 생겨서 참 힘든 날들을 보내게 하게 되기도 합니다. 편도에 생겼을 때는 물을 마시는 것조차도 힘들게 느껴지기 때문에 제대로 밥을 먹는 것도 물을 삼키는 것도 힘들어지는데다약을 바르거나 가글을 하기에도 효과가 미미합니다. 이렇게 고통을 유발하는 구내염 원인에는 대체 어떤 게 있을까 궁금해하실 분들이 계실 듯하여 오늘은 그 증상과 함께 여러 이유들에 대해 얘기해보겠습니다.


구강내 아랫입술,윗입술 안쪽, 잇몸과 볼살, 혀 밑 목 젖,편도등 장소를 불문하고 어디든지 생길 수 있습니다.
대부분은 한번 생기면 알보칠이나 시중에서 구할 수 있는 약을 발라두거나 아니면 자연치유가 될때까지 냅두기도 합니다. 사실 이게 계속 냅뒀다가 크기가 커지면서 합쳐지게 되면 오히려 더 큰 고통과 함께 그 기간이 늘어 나게 됩니다.
입술안쪽의 염증이 나타나면 입술이 붓고 각질등이 일어나는 다른부작용까지 나타나게 되고 혀 밑부분 실줄에 나타나면
이게 점점 커지면서 거의 갈라지는 듯한 모양에 음식을 먹을때마다 고통이 심각하게 유발되기도 합니다. 대부분의 환자 중 60%는 일반적인 재발성 아프타성 구내궤양이라고 합니다.


헤르페스성의 경우에는 단순히 바이러스로 인한 세균 감염에 의해서 나타나는 포진 중 하나입니다.
비교를 해보자면 상대적으로 다른 이유들에 비해서 통증이 상당히 심하고 성인이 되고 난 뒤보다 유년기에 많이 생기는 모습을 볼 수 있습니다. 헤르페스성 중에서도 1형과 2형으로 구분 지어져 있어 구강 내 점막으로 바이러스가 침투하게 되면서 수포가 생기고 이후에 진행률이 상당히 빠릅니다.


헤르페스성 구내염은 단순포진의 일종으로 분류되며 대부분 한번 진행되면 그 DNA가 인체내척추의 신경절에 항상 자리잡고 있다가 피로감이 쌓이면서 체내 면역력이 떨어지게 되면 금방 다시 재발하는 특징이 있습니다.
증상으로는 통증이 일반적보다 심하게 나타나며 전염성이 나타납니다. 대부분 청소년기에 많이 나타난다고 하며
구강 내 점막을 침범하면서 수포를 형성하고 대상포진이 생기기도 합니다.
그리고 완치가 되고 난 후에도 재발 확률이 높습니다. 완치 후 척추의 신경절에 숨어있다가 이후, 부족한 수면 시간, 과로, 영양소 결핍 등으로 인해 면역력이 낮아지게 될 경우에 잠복해있던 균들이 활동을 재개하면서 나타나게 됩니다.
이러한 이유로 인해 걸렸을 때 주의해야 할 점은 바로 다른 것과 달리 전염성이 있다는 겁니다.
예방을 위해서는 식사를 할 때 개인 접시 사용,타인과의 구강 접촉을 자제하는 방법이 있습니다.
헤르페스성 구내염 빨리 낫는법으로는 평소 체력 관리가 가장 중요하게 여겨져 재발을 방지하는 거에 초점을 둡니다.



세번째로는 칸디다증이 있습니다. 진군규레 속하는 균인 칸디다는 사실 우리 몸에 없어서는 안되는 균입니다.
하지만 이게 이상증식하게 되면 그게 문제가 됩니다. 대부분 면력이 떨어져 있는 유아기와 노인, 당뇨병 ,항암치료 환자등에게 흔하게 나타납니다. 이 또한 피로감 때문에 발병하는 경우가 있으나 스테로이드를 오랫동안 복용하는 경우에도
생긴다고 합니다.
칸디다증은 애초에 일반적인것과는 완전히 다릅니다. 이거는 다른 약물로 치료하지 않고 항바이러스제를 섭취하지도 않습니다. 이때는 항진균제를 복용하게 되며, 다른 것과 다르게 통증이 없기 때문에 대부분 그냥 넘어가는 경우도 많습니다.

물론 위에서 얘기한 모든 요소가 아니더라도 혈액 속에 필요한 영양소가 결핍이 되었을 때에도 쉽게 나타날 수 있습니다. 엽산, 철분, 비타민 C, 비타민 B12 등 필수 영양소가 부족할 때도 나타난다는 연구결과를 확인할 수 있었습니다.
이와 함께 갑작스러운 스트레스, 피로, 호르몬 변화, 생리 주기, 체중 변화, 음식물 알러지 등도 이유가 된다고 꼽히고 있지만 이에 따른 정확한 치료 방법이 제시되어 있지 않기 때문에 정확한 구내염 원인이라고 하기에는 힘듭니다.
● 구내염 치료법


제일 중요한 포인트는 일단 컨디션이 떨어지지 않도록 평소에 관리가 중요합니다. 최대한 스트레스와 멀어질 수 있도록 하며, 또한 과로를 피하는 것도 좋은 방법입니다. 그리고 평소 식단에 있어서도 영양소를 골고루 섭취할 수 있도록 신경을 써줘야 합니다.
구강 청결을 관리하는데도 신경을 쓰는 게 중요합니다.